Вчені створили новітню технологію, що відкриває таємниці людського мозку — фото

Новітня технологія вчених розкриває таємниці мозку людини — фото та відео
Людина в новому надпотужному МРТ. Фото: AFP

Мозок людини — найскладніша та найзагадковіша система, яку дослідники вивчають століттями. Одна з головних проблем його вивчення — доступ. Зазирнути у мозок живої людини й прослідкувати за процесами, що там відбувається, неможливо. Проте новітня технологія дозволяє відкрити деякі таємниці найголовнішого людського органу. 

Так, науковці з Комісії з атомної енергії Франції (CEA) створили найпотужніший у світі сканер МРТ. Вперше машину використали для сканування гарбуза ще 2021 року. А нещодавно органи охорони здоров’я дали зелене світло для сканування людей, пише ScienceAlert.

Реклама
Читайте також:

Таким чином, CEA зробили перші деталізовані зображення людського мозку на найпотужнішому у світі сканері МРТ, який отримав назву Iseult. Він розташований у районі Плато де Сакле на південь від Парижа.

За останні кілька місяців близько 20 здорових добровольців стали першими, хто потрапив до апарату.

 

Найпотужніший у світі МРТ сканує перші зображення мозку людини
Людина в новому надпотужному МРТ. Фото: AFP

Магнітне поле, створене сканером, становить колосальні 11,7 тесла — одиницю вимірювання, названу на честь винахідника Ніколи Тесла.

Ця потужність дозволяє апарату сканувати зображення з точністю в 10 разів точнішою, ніж МРТ, які зазвичай використовуються в лікарнях, потужність яких зазвичай не перевищує трьох тесла.

Усередині циліндра довжиною та висотою 5 м машина містить магніт вагою 132 тонни, який живиться від котушки струмом 1500 ампер.

 

Опубліковано перші зображення людського мозку з найпотужнішої у світі МРТ
Людина в новому надпотужному МРТ Iseult. Фото: AFP

Як розповів фізик, який працює над цим проєктом, Александр Віньо, за допомогою цієї машини можна побачити крихітні судини, які живлять кору головного мозку або деталі мозочка, які досі були майже невидимі.

 

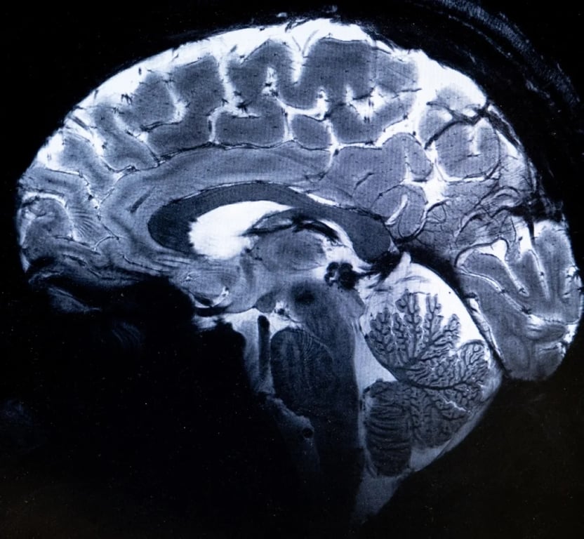
Перше деталізоване зображення людського мозку
Детальне зображення людського мозку на апараті Iseult. Авторство: CEA

Однією з головних цілей такого потужного сканера є уточнення нашого розуміння анатомії мозку та того, які зони активуються, коли він виконує певні завдання. 

"Використання Iseult допоможе краще зрозуміти взаємозв’язок між структурою мозку та когнітивними функціями, наприклад, коли ми читаємо книгу або виконуємо розумові обчислення", — сказав науковий керівник проєкту Ніколас Булант.

Також така точність дозволяє краще виявляти та лікувати патології мозку. 

Дослідники сподіваються, що потужність сканера зможе пролити світло на механізми нейродегенеративних захворювань, таких як хвороба Паркінсона чи Альцгеймера, або психологічних станів, таких як депресія чи шизофренія.

 

Наймогутніший у світі МРТ створив перші знімки людського мозку
Мозок людини на Iseult Magneton 11,7 T МРТ. Фото: CEA

Варто зауважити, що впродовж кількох років вчені будуть тестувати Iseult на добровольцях. Звичайні пацієнти не зможуть використовувати апарат для клінічної діагностики. 

 

Раніше ми писали, нове дослідження показало, що мозок людей суттєво збільшився у розмірах за останні десятиліття. Це вже впливає на здоров'я та інтелект.

Нагадаємо, ми розповідали, науковці розробили новітню технологію, за допомогою якої можна читати думки людини

Також ми повідомляли, що вчені дізналися, від кого діти успадковують інтелект насправді. 

мозок вчені технології дослідження людина МРТ
Реклама
Реклама
Реклама
Реклама